Nana’s Case: Emergency Treatment for Cardiac Crisis
本站
2025/1/14 10:16:08
Recently, our clinic treated an emergency pet, Nana, who suddenly exhibited symptoms such as rapid breathing, poor exercise tolerance, and lethargy. These signs didn’t seem like typical minor illnesses, so we immediately performed a thorough examination.
Initial Examination and Diagnosis
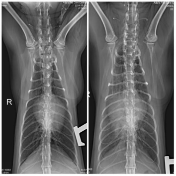
First, we conducted a chest X-ray, which revealed diffuse increased density in the lungs, potentially indicating fluid accumulation, and suggesting a possible heart issue. Additionally, the X-ray showed bronchial signs and an unclear heart silhouette, hinting that the heart might be enlarged or have other abnormalities.
To confirm the diagnosis, we performed an echocardiogram. The results showed an enlarged left atrium and thickened myocardial walls at the end of the left ventricular diastole. These findings indicated that Nana's heart was under significant pressure, leading to heart failure, specifically cardiogenic pulmonary edema, with signs of pneumonia.
Diagnosis and Treatment
Based on these results, we diagnosed Nana with cardiogenic pulmonary edema (due to hypertrophic cardiomyopathy) and pneumonia. These conditions explained her breathing difficulties and overall weakness.
For treatment, we provided oxygen support to help alleviate her rapid breathing and administered pain relief medications for comfort. To treat pneumonia, we used first-line antibiotics and diuretics to reduce the fluid in her lungs. Additionally, we gave heart supplements to support her heart during this critical time.
Follow-Up
Initial Examination and Diagnosis
First, we conducted a chest X-ray, which revealed diffuse increased density in the lungs, potentially indicating fluid accumulation, and suggesting a possible heart issue. Additionally, the X-ray showed bronchial signs and an unclear heart silhouette, hinting that the heart might be enlarged or have other abnormalities.
To confirm the diagnosis, we performed an echocardiogram. The results showed an enlarged left atrium and thickened myocardial walls at the end of the left ventricular diastole. These findings indicated that Nana's heart was under significant pressure, leading to heart failure, specifically cardiogenic pulmonary edema, with signs of pneumonia.
Diagnosis and Treatment
Based on these results, we diagnosed Nana with cardiogenic pulmonary edema (due to hypertrophic cardiomyopathy) and pneumonia. These conditions explained her breathing difficulties and overall weakness.
For treatment, we provided oxygen support to help alleviate her rapid breathing and administered pain relief medications for comfort. To treat pneumonia, we used first-line antibiotics and diuretics to reduce the fluid in her lungs. Additionally, we gave heart supplements to support her heart during this critical time.
Follow-Up
We will continue to closely monitor Nana’s condition, regularly checking her treatment response and conducting comparative imaging tests to assess her recovery. Every time we see our furry patients recovering, it brings us great joy. We believe that with timely treatment and attentive care, Nana will soon regain her health and return to being the lively little one she was.

